دعوى قضائية ضد مستشفى بعدما ابتلع أحد المرضى مفتاحا وتوفي
يواجه مستشفى في اليابان دعوى قضائية بتهمة الإهمال بعد اكتشاف أن مريضًا مسنًا ابتلع مفتاحًا خلال وجوده في جناح الرعاية وتوفي لاحقًا، مما أثار مخاوف بشأن رعاية مرضى الخرف في الدولة التي تشهد شيخوخة سريعة.
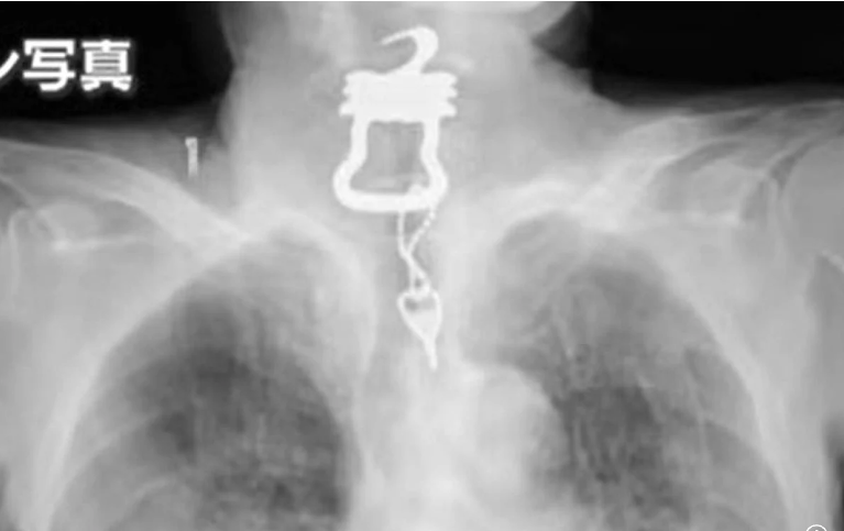
ونُقل كينيتشي أونيشي، 82 عامًا، إلى مستشفى أوساكا في يناير 2022 بعد كسر عظمة صدره إثر سقوطه. وبعد بضعة أشهر، في سبتمبر، اشتكى من ألم في الحلق وشُخِّصت إصابته بفيروس كوفيد-19. ومع ذلك، أظهرت الأشعة السينية على الصدر ظلًا كبيرًا في حلقه، والذي تم تحديده لاحقًا على أنه مفتاح بطول 12 سم متصل بسلسلة مفاتيح.
وقال ابنه البالغ من العمر 55 عامًا، وفقًا لقناة "يوميوري": "في البداية، تخيلت أنه مفتاح صغير ابتلعه عن طريق الخطأ". لكن عندما رأيته، صُدمتُ. كان ثقيلًا وشكله غريبًا." وأوضح "كان المفتاح المعدني، مع سلسلة على شكل أوزة ذات حواف حادة" وهو كما تبين مفتاح ملابس يُستخدم لتأمين بذلة خاصة مصممة لمنع المرضى من العبث بالمعدات الطبية أو الحفاضات، وكان والده، الذي شُخِّص بالخرف الخفيف، يرتدي البدلة أثناء إقامته.
وتوفي أونيشي، الذي كان يدير مطبعة في أوساكا، بعد أيام قليلة من صورة الأشعة السينية وإزالة المفتاح. وبعد عام من وفاة أونيشي، أخبر المستشفى العائلة أن المفتاح ربما وُضع على طاولة بالقرب من سرير المريض، وربما ابتلعه عن طريق الخطأ. ولكن الأسرة تعتقد أن المفتاح تسبب بشكل مباشر في مضاعفات تهدد حياته، بما في ذلك الالتهاب الرئوي التنفسي، والذي أدى في النهاية إلى وفاته.
وقال الابن: "لم تكن إصابته بكوفيد-19 خطيرة، وتفسيرات المستشفى تتغير باستمرار. عليهم إعادة النظر في خطورة تكليفهم بأرواح بشرية". وفي أبريل، رفعت الأسرة دعوى قضائية بالإهمال أمام محكمة مقاطعة أوساكا ضد المستشفى، مطالبةً بتعويض قدره 16.5 مليون ين (114 ألف دولار أمريكي)
وفي حين أقر المستشفى في وثائق عام 2023 المقدمة للعائلة بإساءة التعامل مع المفتاح، إلا أنه نفى وجود أي صلة بين ابتلاع المفتاح المعدني ووفاة أونيشي.
تابعوا آخر أخبارنا المحلية والرياضية وآخر المستجدات السياسية والإقتصادية عبر Google news