بالصور.. هكذا تبدو رئة الأطفال المصابين بـ "كوفيد-19"

صورة

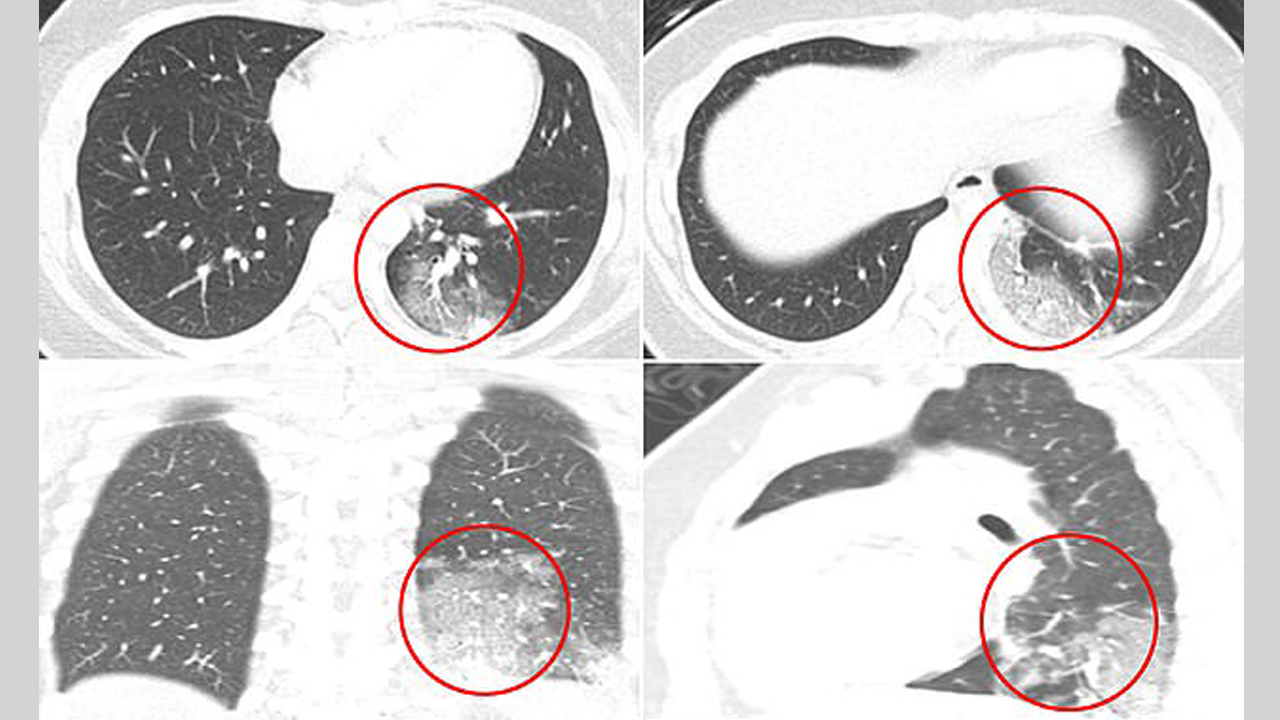
نشر أطباء صوراً بالأشعة المقطعية لرئات أطفال بعد إصابتهم بالفيروس التاجي، وأظهرت الصور تلفاً في الرئة لدى المصابين، وفقاً لما جاء في موقع "ديلي ميل" البريطاني.

وقام فريق مستشفى بوسطن للأطفال بتقييم التصوير المقطعي لحالات الأطفال المصابين بـ"كوفيد-19" لمعرفة العلامات الأكثر شيوعاً.

وفي إحدى الدراسات التي أجريت على 20 طفلاً، كان ما يقرب من ثلثيهم يعانون عتامة الجدار الأرضي للرئة، وهو مؤشر إلى انتشار الالتهاب.

وعانى نصف المرضى لديهم ما يعرف بـ"علامة الهالة"، وذلك عندما يحيط الالتهاب بكتلة الرئة، وهو ما يجعل من الصعب التنفس لأن الأكياس الهوائية في الرئتين تمتلئ بمواد مثل السوائل أو العدوى.

ويبدو أن الأطفال بشكل عام أقل تأثراً بـ"كوفيد-19" من البالغين، إلا أنهم أكثر عرضة للإصابة إذا كانت لديهم حالة كامنة.

 

تويتر