شاهد ..صور مروعة تكشف كيف يدمر كورونا رئات المصابين بالفيروس

صورة

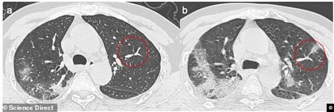
نشرت صحيفة" ديلي ميل" البريطانية مجموعة صور وصفتها بالمروعة لتدمير فيروس كورونا المستجد، رئات شخصين في الستينات من العمر من مدينة ووهان الصينية، كانا في رحلة إلى إيطاليا.


وقام باحثون في المعهد الوطني للأمراض المعدية في روما بدراسة الشخصين بعد اختبار إيجابي للفيروس في 29 يناير 2020.

وكان المريضان (الأول يبلغ من العمر 67 عاما، والثانية 65 عاما)، يتمتعان بصحة جيدة، لكن المريضة الثانية كانت تتناول أدوية لضغط الدم المرتفع.


وكشفت صور الأشعة السينية وصور الأشعة المقطعية كيف دمر الفيروس  وجهازهما التنفسي بطريقة مماثلة  لتأثير فيروسي سارس وميرس وقد أظهرت الأشعة المقطعية للمريضين تورم الأنسجة الرخوة في الرئة، وقد امتلأت بالصديد والدم، أو الماء.

تويتر