جراحة معقدة في دبي تنقذ حياة ستيني تهشمت دماغه
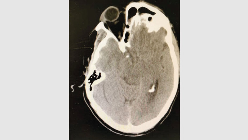
صورة الدماغ.
أنقذ فريق طبي في دبي حياة رجل أعمال ستينياً من الموت، بعد تعرضه لإصابة بالغة في الدماغ، أدخلته في غيبوبة تامة.
وذكر استشاري جراحة المخ والأعصاب والعمود الفقري في مستشفى برايم بدبي، الدكتور ثائر درويش، أن المريض، وهو من جنسية آسيوية، ويبلغ 68 عاماً، تعرض لحادثة سقوط مدوٍّ على الرأس، أثناء استحمامه في منزله، ما تسبب له في حدوث فتق وتهشم في الدماغ، وأدى إلى حدوث نزيف حاد، ودخوله في غيبوبة كاملة.
وتابع أن المريض نقل إلى المستشفى وقد شخصت حدقتا عينيه، الأمر الذي يعني طبياً أنه على وشك الموت.
وأكد التعامل معه كحالة حرجة، وإدخاله إلى غرفة العمليات فوراً، لإزالة الدماء عن الدماغ، وتخفيف الضغط عنه، الأمر الذي أنقذ حياته.
وذكر أن نسبة 80% ممن يتعرضون لمثل هذه الإصابات يفقدون حياتهم، إذا لم يتلقوا الخدمات العلاجية بكفاءة، في الوقت المناسب.
تابعوا آخر أخبارنا المحلية والرياضية وآخر المستجدات السياسية والإقتصادية عبر Google news