أول جراحة من نوعها في الإمارات  

علاج كسر في ركبة «أربعيني» من أصحاب الهمم

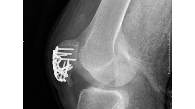
الفريق الطبي في المستشفى استفاد من تقنية مبتكرة. من المصدر

أكد مستشفى الفجيرة، التابع لمؤسسة الإمارات للخدمات الصحية، نجاح فريقه الطبي في إجراء عملية جراحية هي الأولى من نوعها في دولة الإمارات، مشيراً إلى علاج حالة طبية معقدة لمريض من أصحاب الهمم (40 عاماً)، كان يعاني كسراً متبدلاً وانزياحاً في عظم الرضفة بالركبة اليمنى، ما تسبب في عدم قدرته على رفع الساق المصابة.

وأفاد مدير مستشفى الفجيرة، الدكتور أحمد الخديم، بأن معاناة المريض اعتلال عضلة القلب، وضموراً خلقياً في الأطراف، نتيجة نقص الكتلة العضلية وانخفاض كثافة العظام، زادا من تعقيد الحالة.

وقال إن الفريق الطبي في المستشفى استفاد من تقنية مبتكرة تُعدّ الأولى من نوعها في الإمارات، تمثّلت في استخدام صفيحة خاصة تتيح قفل البراغي، ما يوفر تثبيتاً آمناً للعظام المكسورة، لاسيما في حالات هشاشة العظام.

وذكرت مساعدة مدير المستشفى للشؤون الطبية، الدكتورة أمل المعيني، أن العملية تكللت بالنجاح، حيث تماثل المريض للشفاء وخرج من المستشفى بحالة صحية ممتازة.

تويتر