الجراحة استغرقت 8 ساعات في مستشفى «كليفلاند كلينك أبوظبي»
استئصال ورم بحجم كرة بلياردو من دماغ مقيم
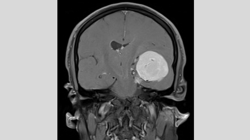
استأصل الجراحون في مستشفى «كليفلاند كلينك أبوظبي»، ورماً بحجم كرة بلياردو من دماغ شاب مقيم (34 عاماً)، ونجحوا بذلك في وضع حد لمشكلته الصحية التي استمرت على مدار 10 سنوات ظل خلالها يعاني صداعاً ونوبات مرض متقطعة.
وتفصيلاً، كان المريض مهند عمارة يعاني نوبات الصداع والقشعريرة والدوار، وعدم وضوح الرؤية، وضعف في ذراعيه، وفقدان القدرة على النطق في منتصف العشرينات من عمره، وحاول الحصول على علاج، لكن دون جدوى، بل تفاقمت حالته على مر السنين، نتيجة عدم الحصول على تشخيص للحالة.
وبعد 10 سنوات، قرر (مهند) حجز موعد لإجراء تصوير بالرنين المغناطيسي، فبينت النتائج وجود ورم دماغي بحجم كرة بلياردو في الجانب الأيسر من الجمجمة، يضغط على الدماغ، فلجأ إلى مستشفى «كليفلاند كلينك أبوظبي»، حيث قرر الأطباء استئصال الورم.
واستغرقت عملية الاستئصال ثماني ساعات، وكانت معقدة جداً بسبب موقع الورم الكائن في قاعدة الجمجمة وضغطه على الدماغ، ووجود شبكة من الأوعية الدموية فيه. لذلك، استخدم الأطباء تقنية متطورة تُدعى «الملاحة العصبية»، التي تقوم بعملية مسح تفصيلية ثلاثية الأبعاد للدماغ للمساعدة في توجيه العمل الجراحي، وضمان إمكانية إزالة الورم دون الإضرار بأي من أنسجته السليمة المحيطة. وبالفعل خضع المريض للجراحة، وتمكن بعدها من التعافي والعودة إلى حياته العائلية والمهنية.
وقال أخصائي الجراحة العصبية في مستشفى كليفلاند كلينك أبوظبي، الدكتور محمد سامي الحمادي: «كان الورم في دماغ (مهند) من أكبر الأورام التي رأيتها لدى المرضى هنا في أبوظبي، فقد نما على مدى فترة طويلة، ما أتاح تشكّل شبكة أوعية خاصة به وتسبب في حدوث انتفاخ كبير أدى إلى دفع الدماغ لأكثر من سنتيمتر عن المركز. كان لابد من استئصال الورم، وإلّا لكان استمر بالنمو وأدى إلى تفاقم الأعراض».
تابعوا آخر أخبارنا المحلية والرياضية وآخر المستجدات السياسية والإقتصادية عبر Google news