تتسلل إليهم عبر مواقع تسوّق باعتبارها ألعاباً تعليمية.. والجهات المختصة حظرتها
«الكرات المغناطيسية» تهدد حياة الصغار بتلف الأمعاء.. و114 ابتلعوها خلال 10 سنوات
حذّر أطباء مختصون من خطر «الكرات المغناطيسية» التي تُسوَّق على أنها ألعاب تعليمية، مؤكدين أنها قد تتحوّل إلى سبب مباشر لدخول الأطفال غرف العمليات في جراحات معقدة ومهددة للحياة.
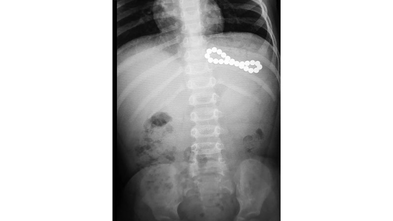
وكشفت دراسة طبية أجراها نخبة من أطباء الجهاز الهضمي للأطفال وطب الطوارئ على مستوى الدولة، على مدى 10 سنوات (من 2015 حتى 2025)، عن أرقام مقلقة لحالات ابتلاع هذه الكرات، حيث رصدت 114 حالة مؤكدة، من بينها حالات شديدة الخطورة لأطفال ابتلعوا أعداداً كبيرة من الكرات المغناطيسية، منها حالة لطفلة بعمر تسع سنوات في دبي ابتلعت 28 كرة، وأخرى ابتلعت 26 كرة، ما استدعى تدخلات جراحية عاجلة ومعقدة، وبعضها كان نادراً وخطيراً.
وقالو لـ«الإمارات اليوم» إن إحصاءات الدراسة أظهرت أن تلك الكرات تسببت في مضاعفات جسيمة، تشمل انسدادات معوية، وثقوباً في الأمعاء، وتكوّن نواسير بين أعضاء الجهاز الهضمي، وصولاً إلى إدخال بعض الأطفال العناية المركزة، مؤكدين أن غياب الأعراض في المراحل الأولى لا يعني الأمان، بل قد يخفي تطورات خطيرة داخل جسم الطفل.
ودعا الأطباء إلى ضرورة منع تداول وبيع الكرات المغناطيسية عبر مواقع ومنصات التسوق الإلكتروني وشركات التوصيل، أسوةً بالأسواق التقليدية، مؤكدين أن ترك هذه الثغرة دون ضبط يُبقي حياة الأطفال عرضة للخطر.
وأشاروا إلى أن الجهات المختصة كانت قد أصدرت قراراً سابقاً بمنع تداول هذه المنتجات في الأسواق المحلية، نظراً لما تشكله من تهديد جسيم على السلامة العامة، وهو القرار الذي أسهم في خفض عدد حالات الابتلاع خلال السنوات التي أعقبت تطبيقه، قبل أن تعود هذه الألعاب للتسلل مجدداً عبر القنوات الإلكترونية، ما يستدعي تعزيز الإطار التشريعي والرقابي لضمان تطبيق المنع على جميع قنوات البيع دون استثناء.
وحذّر استشاري الجهاز الهضمي للأطفال، الدكتور نافع الياسي، من خطر متزايد يهدد سلامة الأطفال يتمثل في الكرات المغناطيسية التي تُسوَّق على أنها ألعاب تعليمية، مؤكداً أنها تشكّل تهديداً قاتلاً في بعض الحالات رغم مظهرها الجذاب وحجمها الصغير، الذي قد يوحي للطفل بأنها نوع من الحلوى، ما يدفعه لابتلاع أكثر من كرة في الوقت ذاته.
وأوضح أن الخطورة الحقيقية تكمن في قوة الجذب المغناطيسي العالية، إذ إن ابتلاع أكثر من كرة قد يؤدي إلى التصاقها ببعضها داخل الجهاز الهضمي، كأن تكون إحداها في المعدة والأخرى في الأمعاء، ما يسبب انسدادات حادة والتصاقات معوية خطيرة، مبيناً أن هذه الحالات غالباً لا يمكن علاجها باستخدام المناظير، بل تتطلب تدخلاً جراحياً عاجلاً، وقد تتطور المضاعفات إلى ثقوب في الأمعاء أو غرغرينا، تستدعي إدخال الطفل إلى العناية المركزة، وقد تصل في بعض الحالات إلى الوفاة.
وأشار إلى أن قرار وزارة الصناعة والتكنولوجيا المتقدمة الصادر عام 2021 بمنع بيع الكرات المغناطيسية في الأسواق المحلية أسهم بشكل ملحوظ في خفض عدد الحالات المترددة على المستشفيات خلال الفترة من 2021 إلى 2023، وذلك بعد مناشدات واسعة من الأطباء والجراحين نظراً لما تشكله هذه الألعاب من خطر جسيم على الأطفال، لافتاً إلى أنه تم رصد عودة مقلقة لارتفاع الحالات خلال عام 2025، نتيجة تسرب هذه الألعاب مرة أخرى عبر بعض المحال التجارية ومنصات التسوق الإلكتروني.
وكشف عن تسجيل حالات خطيرة خلال الفترة الأخيرة، من بينها طفل ابتلع 13 كرة مغناطيسية، تبيّن أن ذويه قاموا بشرائها عبر إحدى المنصات الإلكترونية، مؤكداً أن هذه الواقعة تعكس الحاجة الملحّة إلى تشديد الرقابة على منصات البيع الإلكتروني، وتطبيق قرارات المنع عليها بالصرامة ذاتها المعمول بها في الأسواق المحلية.
وأكد أن التجربة السابقة أثبتت أن الاستجابة السريعة للجهات المعنية تؤتي نتائج ملموسة، إذ أدى قرار المنع قبل أربع سنوات إلى انخفاض واضح في حالات ابتلاع الأجسام المغناطيسية، إلا أن تداولها إلكترونياً أعاد الخطر مجدداً، ما يستوجب تحركاً عاجلاً لحماية الأطفال.
ودعا أولياء الأمور إلى التخلص الفوري من هذه الألعاب في حال وجودها داخل المنازل، والتنبه للأعراض التحذيرية حال الاشتباه في ابتلاعها، وعلى رأسها الاستفراغ المتكرر، خصوصاً إذا كان القيء ذا لون أخضر، لما يمثله ذلك من مؤشر على انسداد معوي خطير.
وطالبوا شركات ومنصات التسوّق الإلكتروني، بتحمّل مسؤوليتها المجتمعية، وتقديم سلامة الأطفال على المكاسب المادية، ووقف بيع هذه المنتجات الخطرة التي أثبتت الإحصاءات الطبية تسببها في إصابات بالغة لأطفال أبرياء.
وقال طبيب زميل أمراض الجهاز الهضمي والكبد والتغذية للأطفال، الدكتور أحمد عبدالوهاب نقد، إنه تم إجراء دراسة بحثية موسعة بالتعاون مع أطباء الجهاز الهضمي للأطفال على مستوى الدولة، برئاسة استشاري الجهاز الهضمي للأطفال، الدكتور نافع الياسي، لرصد حالات ابتلاع الأجسام الغريبة بين الأطفال في دولة الإمارات على مدار 10 سنوات (من عام 2015 حتى 2025).
وأوضح أن نتائج الدراسة كشفت عن مؤشرات مقلقة، حيث تم تسجيل 114 حالة ابتلاع كرات مغناطيسية بين الأطفال خلال فترة البحث، لافتاً إلى أن من أخطر هذه الحالات طفلة تبلغ من العمر تسع سنوات في دبي ابتلعت 28 كرة مغناطيسية، إضافة إلى حالة أخرى لطفلة ابتلعت 26 كرة مغناطيسية.
وأشار إلى أن الدراسة وثّقت حالات استدعت تدخلات جراحية معقدة لإزالة سلاسل مغناطيسية أو علاج مضاعفاتها الخطيرة، مثل تكوّن نواسير بين المعدة والأمعاء، أو بين أجزاء الأمعاء نفسها، فضلاً عن تسجيل حالة نادرة لتكوّن ناسور بين المريء والقصبة الهوائية، ما استدعى استئصال الجزء المصاب جراحياً.
وبيّن أن خطورة هذه الكرات تكمن في ابتلاع أكثر من مغناطيس في الوقت ذاته، حيث يحدث التصاق مغناطيسي عبر الأغشية المخاطية بين المعدة والأمعاء أو بين أجزاء مختلفة من الأمعاء، ما يؤدي إلى تشكّل قنوات غير طبيعية (نواسير) أو ثقوب معوية تتطلب تدخلات جراحية دقيقة وقد تكون مهددة للحياة.
ولفت إلى أنه على الرغم من استجابة الجهات الحكومية المختصة، ومنع بيع هذه المنتجات في الأسواق التقليدية منذ عام 2021، إلا أن هذه الكرات لاتزال متاحة عبر منصات التسوق الإلكتروني، داعياً إلى ضرورة سن تشريعات واضحة وصارمة تمنع بيع الكرات المغناطيسية عبر المنصات الإلكترونية وشركات التوصيل، نظراً لما تمثله من خطر مباشر على حياة الأطفال. ودعا الكوادر الطبية إلى رفع مستوى الاشتباه في حالات ابتلاع الأجسام الغريبة عند فحص الأطفال الذين يعانون آلاماً غير مبررة في البطن أو الصدر، أو ضيق تنفس مجهول السبب.
وأكد أن التعامل مع هذه المغناطيسيات داخل جسم الطفل يشبه وجود «عدو خفي» يتحرك ببطء مسبباً دماراً في الأنسجة بفعل قوة الجذب، ما يجعل الوقاية والمنع الخيار الوحيد لحماية الأطفال من هذه المخاطر، مشيراً إلى أن الدراسة، التي أُعدت بتعاون نخبة من الأطباء، قيد النشر حالياً في إحدى المجلات الطبية العالمية المتخصصة، وتهدف إلى رفع مستوى الوعي المجتمعي والطبي، والحد من هذه الحالات التي أظهرت دراسات عالمية إمكانية وصولها إلى الوفاة.
وقال استشاري طب الطوارئ، الدكتور هيثم خليل، إن ابتلاع الكرات المغناطيسية قد تبدأ مضاعفاته خلال ساعات قليلة فقط، ومن بينها انسداد معوي نتيجة التصاق أجزاء الأمعاء ببعضها، أو نخر وموت جزء من الأمعاء بسبب انقطاع التروية الدموية، إضافة إلى ثقوب معوية، وتكوّن نواسير غير طبيعية، والتهاب بريتوني حاد، وقد تتطور الحالة في المراحل المتأخرة إلى تعفن الدم (Sepsis)، وهو ما يهدد حياة الطفل بشكل مباشر.
وبيّن أن التعامل الطبي مع هذه الحالات يعتمد على عدد الكرات ومكانها ووقت ابتلاعها، حيث يتم التقييم الفوري باستخدام الأشعة السينية لتحديد العدد والموقع. وفي حال ابتلاع كرة واحدة فقط، قد تتم المراقبة الدقيقة في ظروف محددة، أما عند ابتلاع أكثر من كرة، فلا يُنصح بالانتظار في معظم الحالات، فإذا كانت الكرات في المعدة، قد يتم استخراجها بالمنظار بشكل عاجل، أما إذا تجاوزت المعدة أو ظهرت علامات خطر، تصبح الجراحة الفورية ضرورة لا تحتمل التأجيل.
الكرات المغناطيسية الإلكترونية ليست آمنة
حذّر استشاري طب الطوارئ، الدكتور هيثم خليل، من أن أي تأخير في التدخل قد يحوّل الحالة من إجراء بسيط إلى جراحة تخصصية معقدة قد تشمل استئصال جزء من الأمعاء، والدخول إلى العناية المركزة، مع احتمال حدوث مضاعفات طويلة المدى.
وأكد أن التصرف السريع قد ينقذ حياة الطفل، وأن الوقاية والتشريع لا يقلان أهمية عن العلاج، بل قد ينقذان طفلاً قبل وصوله إلى غرفة العمل.
وأكد أن الخطورة الحقيقية تكمن في أن بعض هذه المضاعفات قد تتطوّر بصمت، حيث يصل الطفل إلى قسم الطوارئ في مرحلة متقدمة تتطلب تدخلاً جراحياً معقداً. وشدّد على أن مجرد الاشتباه في ابتلاع كرات مغناطيسية يستوجب التوجه الفوري إلى الطوارئ، خصوصاً عند ظهور أعراض مثل آلام البطن حتى وإن كانت خفيفة أو متقطعة، أو القيء والغثيان، أو انتفاخ وتصلب البطن، أو الخمول غير المعتاد وفقدان الشهية، أو الحمى، أو الإمساك وتوقف إخراج الغازات، إضافة إلى البكاء المستمر دون سبب واضح لدى الأطفال الصغار.
ولفت إلى أن غياب الأعراض لا يعني الأمان، فقد يبدو الطفل مستقراً ظاهرياً بينما تتشكل مضاعفات خطيرة داخلياً.
وأكد أن هناك حاجة ملحّة إلى تشديد الرقابة ومنع بيع الكرات المغناطيسية على المنصات الإلكترونية، مشدداً على أنها ليست ألعاباً آمنة للأطفال، وتفوق في خطورتها معظم الأجسام الغريبة المعروفة، وقد ارتبطت عالمياً بحالات جراحية طارئة ووفيات، داعياً إلى منع بيعها بشكل صارم، لا سيما عبر المتاجر الإلكترونية.
• أطباء في الدولة أجروا دراسة، رصدت ابتلاع طفلة 28 كرة مغناطيسية، وأخرى ابتلعت 26.
تابعوا آخر أخبارنا المحلية والرياضية وآخر المستجدات السياسية والإقتصادية عبر Google news