استئصال ورم بحجم كرة البليارد من دماغ شاب
استأصل الجراحون في مستشفى "كليفلاند كلينك أبوظبي"، أحد مرافق الرعاية الصحية عالمية المستوى التابعة لشركة مبادلة للاستثمار، ورماً بحجم كرة البليارد من دماغ شاب مقيم في الرابعة والثلاثين من عمره، ونجحوا بذلك في وضع حد لمشكلته الصحية التي استمرت على مدار 10 سنوات ظل خلالها يعاني من صداع ونوبات مرض متقطعة.
وكان المريض مهند عمارة بدأ يعاني من نوبات الصداع والقشعريرة والدوار وعدم وضوح الرؤية وضعف في ذراعيه وفقدان القدرة على النطق في منتصف العشرينات من عمره، وحاول كثيراً الحصول على علاج لكن دون جدوى، بل استمرت حالته بالتفاقم على مر السنين.
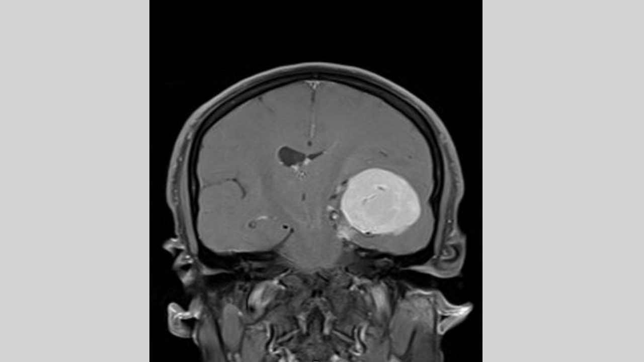
وبعد عشر سنوات من البحث والقلق نتيجة عدم الحصول على تشخيص للحالة، قرر مهند حجز موعد لإجراء تصوير بالرنين المغناطيسي، فبينت النتائج وجود ورم دماغي بحجم كرة البليارد في الجانب الأيسر من الجمجمة وكان ذلك يضغط على الدماغ، وعندها لجأ إلى مستشفى "كليفلاند كلينك أبوظبي"، حيث قرر الأطباء استئصال الورم.
واستغرقت عملية الاستئصال ثماني ساعات، وكانت معقدة جداً بسبب موقع الورم الكائن في قاعدة الجمجمة وضغطه على الدماغ ووجود شبكة من الأوعية الدموية فيه، لذلك استخدم الأطباء تقنية متطورة تُدعى "الملاحة العصبية"، التي تقوم بعملية مسح تفصيلية ثلاثية الأبعاد للدماغ للمساعدة في توجيه العمل الجراحي وضمان إمكانية إزالة الورم دون الإضرار بأي من أنسجه السليمة المحيطة، وبالفعل خضع المريض للجراحة وتمكن بعدها من التعافي والعودة إلى حياته العائلية والمهنية.
قال أخصائي الجراحة العصبية في مستشفى "كليفلاند كلينك أبوظبي، الدكتور محمد سامي الحمادي، ": "كان الورم في دماغ مهند من أكبر الأورام التي رأيتها لدى المرضى هنا في أبوظبي، فقد نما على مدى فترة طويلة، ما أتاح تشكّل شبكة أوعية خاصة به وتسبب بحدوث انتفاخ كبير أدى إلى دفع الدماغ لأكثر من سنتيمتراً عن المركز. كان لا بد من استئصال الورم، وإلا لكان استمر بالنمو وأدى إلى تفاقم الأعراض".
ووصف الحمادي، تقنية الملاحة العصبية بأنها بمثابة نظام تحديد الموقع في الجراحة، وأكد أن استخدامها، إلى جانب أنظمة المراقبة العصبية الأخرى لمتابعة وظائف الدماغ أثناء العملية، يفيد في تعزيز سلامة المرضى الذين يخضعون لجراحة الدماغ، مشيراً إلى أن هذه التقنية تتيح إجراء مسح ثلاثي الأبعاد لدماغ المريض بحيث نعرف دائماً المكان الذي يجب أن نستهدفه، ما يساعد على تجنب إلحاق أي ضرر بالأنسجة السليمة ويضمن عدم تعرض المريض لأي آثار جانبية تترتب على الجراحة".
تابعوا آخر أخبارنا المحلية والرياضية وآخر المستجدات السياسية والإقتصادية عبر Google news