تحتاج إلى جراحة عاجلة بـ 50 ألف درهم
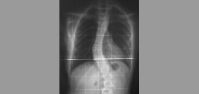
«شيماء» تعاني تشوهات في العمود الفقري
تعاني المريضة (شيماء) (19 سنة ـــ من جنسية دولة خليجية)، تشوهات في العمود الفقري، وتحتاج إلى جراحة عاجلة لمنع تدهور حالتها، تبلغ كلفتها 50 ألف درهم، لكن الإمكانات المالية لأسرتها لا تسمح بتأمين هذا المبلغ، لذا يناشدون أهل الخير مساعدتها في توفير كلفة العملية.
|
انحراف العمود الفقري انحراف العمود الفقري، أو جنف العمود الفقري، هو حالة مرضية تصيب العمود الفقري، وتسبب له انحرافاً (ميلاناً) من جهة إلى جهة، مع استدارة الفقرات بحيث لا يكون العمود الفقري عمودياً. وفي هذه الحالة تتشكل انحناءات عدة أيضاً، تحت تأثير ثقل الجسم، والتي تشكل في بعض الأحيان شكل حرف (S). وعادةً يسبب الجنف الألم عند البالغين وكبار السن، ويصنف على أنه عيب ولادة، أو مجهول السبب، أو مشكلة في الموصل العصبي العضلي متطورة من أمراض أخرى مثل السنسنة المشقوقة، والشلل الدماغي، وضمور العضلات الشوكي، أو الصدمة البدنية والجنف. ويعتمد علاج الجنف على شدة درجة زاوية الانحناء ونوع الجنف، مثلاً الجنف الثانوي يكون العلاج بالدرجة الأولى موجهاً ضد المرض المُسبب له، وتوجد علاجات تحفظية، وإذا فشلت لا يوجد علاج سوى العملية الجراحية، والتي تقدّر مخاطرها بنسبة 5%. |
وروى والد المريضة قصة معاناتها مع المرض لـ«الإمارات اليوم»، قائلاً: «تعاني (شيماء) مشكلات صحية عبارة عن تشوه بسيط في العمود الفقري منذ ولادتها، وقد واصلت حياتها بشكل طبيعي، وكانت متوفقة دراسياً، والتحقت بكلية الاقتصاد في إحدى الجامعات بالدولة»، مضيفاً: «في هذه الأثناء، بدأت الحالة الصحية لابنتي تسوء شيئاً فشيئاً، وفي بادئ الأمر ظننا أن الآلام مجرد عارض وسيزول، لكنها تواصلت مع حدوث تغير في شكل العمود الفقري، ما أثر كثيراً في حالتها النفسية، وأصبحت تشعر بأنها أقل من الأشخاص الأسوياء، واضطرت إلى عدم إكمال عامها الدراسي الأول، والجلوس في المنزل».
وقال: «عندما لم تعد الآلام محتملة نقلنا (شيماء) إلى مستشفى أم القيوين، حيث خضعت للفحوص، ووصف لها الطبيب المعالج الأدوية وواظبت عليها بالتوازي مع العلاج طبيعي، لكن استمرت الحال دون تحسن، وباتت لا تستطيع المشي، وبدأت الفقرات في الاعوجاج، وتالياً انحناء العمود الفقري بشكل أكبر».
وتابع الأب: «عرضنا الحالة على أطباء في عدد من المستشفيات الحكومية والخاصة لكن دون جدوى، إذ كانوا جميعهم يصفون لها أدوية وعلاجاً طبيعياً فقط، بعدها نصحني أحد الأصدقاء بنقلها إلى مستشفى الشيخ خليفة في عجمان، حيث أظهرت معاينة الأطباء هناك أنها تحتاج إلى عملية جراحية لمعالجة التشوه الخلقي، ومنع تدهور صحتها بشكل أكبر».
وأضاف: «تبلغ كلفة العملية 50 ألف درهم، وسيتم إجراؤها عن طريق طبيب زائر الأسبوع المقبل، والمشكلة أن ظروفي وإمكاناتي المالية المتواضعة لا تسمح لي بتوفير مبلغ العملية، ولا أعرف كيفية تدبير هذا المبلغ».
وقال: «أسرتي مكونة من 13 فرداً، وكنت أعمل حارساً في إحدى المدارس الحكومية في أم القيوين، وتم إنهاء خدماتي لكبر سني، وينفق علينا اثنان من أبنائي، يعملان في مؤسسات حكومية في دبي، برواتب لا تتجاوز 14 ألف درهم، تذهب لإيجار المسكن ومصروفات الحياة».
وأوضح التقرير الطبي الصادر من مستشفى الشيخ خليفة بن زايد في عجمان، أن «المريضة تبلغ من العمر 19 عاماً، وتم تشخيص حالتها من قبل الأطباء المختصين في عيادة العظام، وتبين أنها تعاني انحرافاً خلقياً في العمود الفقري، وتحتاج إلى تدخل جراحي لتصليح التشوه ومنع تدهور الحالة»، مشيراً إلى أن هناك طبيباً مختصاً في مثل هذا النوع من الجراحات، سوف يزور المستشفى الأسبوع المقبل.
